A - B >
C - D >
E - K >
L - O >
P - T >
Image Gallery
L - O
Liver
Lung
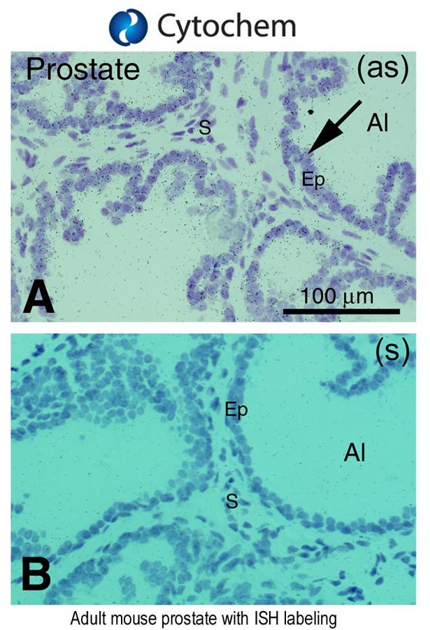
Male Reproductive Organs
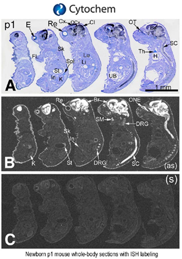
Ontogeny
P - T
>
Haut de la page