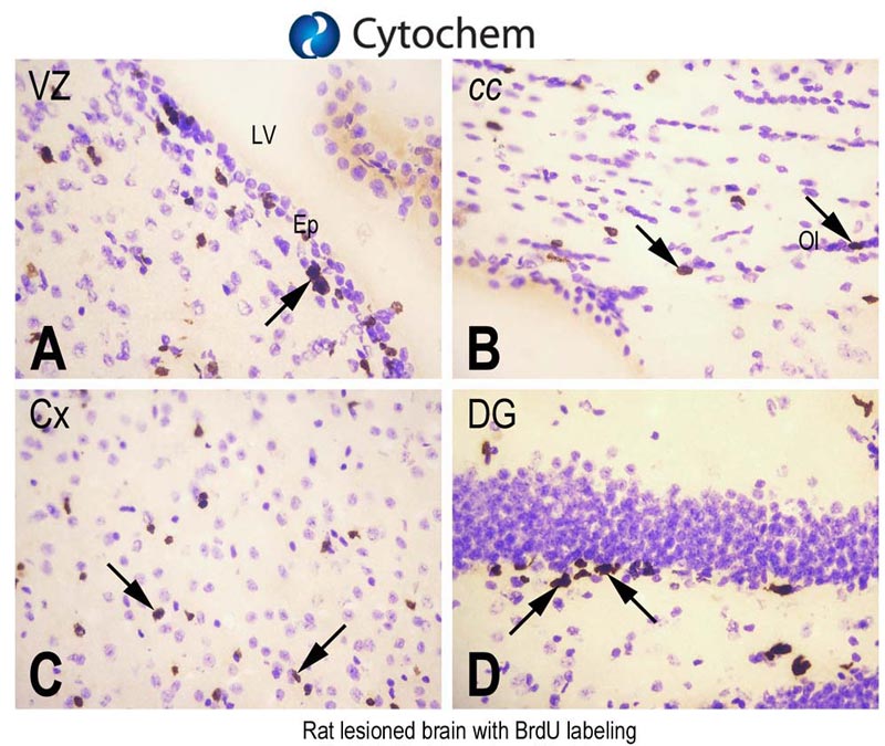
A - B >
C - D >
E - K >
L - O >
P - T >
Image Gallery
C - D
Central Nervous System
Comparative Studies
Different Techniques
E - K
>
Haut de la page