A - B >
C - D >
E - K >
L - O >
P - T >
Image Gallery
E - K
Ear
Eye
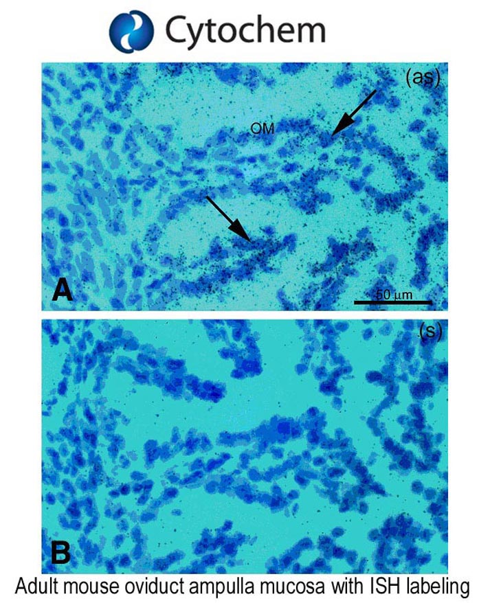
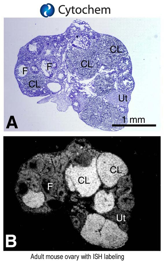
Female Reproductive Organs
Gut
Heart
Kidney
L - O
>
Haut de la page