![]() |
![]() |
![]() |
![]() |
![]() |
![]() |
![]() |
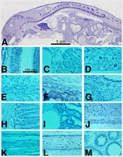
Cytochem works exclusively with frozen tissue samples because it is the richest source of biological molecules and most representative of the native state. Other methods such as paraffin embedding maintain good morphology but loose a significant proportion of molecular targets and biomarkers as well as certain structural features (e.g. adipocytes).
However, paraffin-based methods are often used because of their good and stable morphology and ease of manipulation. Classically, frozen tissue section did not have this reputation and this was a major drawback!
The challenge was to develop frozen tissue preparation and sectioning methods that had the gold-standard morphology of paraffin coupled with the high integrity of bio-molecules found in frozen tissues!
Cytochem has met this challenge with outstanding success and is proud to offer this unique technique to its clients through its standard whole-body panels or any custom cryosectioning on all types of animal and human tissues.